Процедура катетеризации сердца (или зондирования) заключается во введении катетеров (тонких гибких трубочек из пластика) в полости сердца или просвет магистральных сосудов через периферические сосуды. Такая методика может применяться для осуществления ряда диагностических исследований – ангиографии, эндомиокардиальной биопсии, внутрисосудистого УЗИ, измерения сердечного выброса, оценки миокардиального метаболизма или изучения состояния шунтов. Кроме этого, катетеризация сердца может проводиться и в лечебных целях.
За разработку такого метода диагностики в 1956 году Вернеру Форссману, Дикинсону Ричардсу и Андре Фредерику Курнану была присуждена Нобелевская премия. С тех пор, благодаря научно-техническому прогрессу, технология выполнения катетеризации сердца значительно усовершенствовалась и стала еще более безопасной и высокоинформативной.
В последние годы значение этой диагностической процедуры несколько снизилось, благодаря появлению ряда неинвазивных исследований (это МРТ и КТ сердца, радиоизотопная кардиография, Эхо-допплеркардиография). Однако в некоторых случаях диагностика патологий этого жизненно важного органа не может быть полной без выполнения такого инвазивного метода обследования.
В этой статье мы ознакомим вас с показаниями, способами подготовки и выполнения, возможными противопоказаниями и осложнениями катетеризации сердца. Полученная информация поможет вам понять суть этого исследования, и вы сможете задать возникшие вопросы своему лечащему кардиологу.
Разновидности катетеризации сердца

Существует два вида этой процедуры:
- большая катетеризация (или катетеризация левых отделов сердца) – выполняется чаще, катетер продвигают через аорту в левый желудочек до коронарных сосудов;
- малая катетеризация (или катетеризация правых отделов сердца) – катетер в правые отделы сердца и легочные артерии может внедряться через вены паховой области или локтевого сгиба, иногда применяются «плавающие» катетеры, попадающие в сердце вместе с током венозной крови.
Кроме этого, может выполняться синхронная (или симультанная) катетеризация, во время которой в сердце через артерию и вену вводятся два катетера. Во время процедуры их могут располагать напротив друг друга таким образом, чтобы их разделял только сердечный клапан (например, аортальный или митральный). Такая методика позволяет рассчитывать градиент давления, создаваемый отверстиями сердечных клапанов.
Показания
Катетеризация сердца в диагностических целях назначается в тех случаях, когда врачу необходимо получить максимально детальную информацию о коронарных сосудах и сердце больного, а другие методики обследования не могут предоставить исчерпывающие данные о степени, причинах нарушения гемодинамики и ее особенностях. После получения результатов специалист может составить правильный план лечения (например, назначить проведение хирургической операции).
Диагностическая катетеризация сердца может назначаться в следующих клинических случаях:
- врожденные пороки сердца;
- патологии сердечных клапанов;
- ишемическая болезнь сердца;
- кардиомиопатия;
- сердечная недостаточность;
- легочная гипертензия;
- сердечный амилоидоз.
Процедура позволяет установить характер поражений коронарных сосудов, тканей миокарда или сердечных клапанов, который не может определяться при выполнении других исследований (т. е. если они показывают сомнительные результаты). Кроме этого, катетеризация сердца дает возможность оценивать тяжесть таких повреждений и исследовать патофизиологические механизмы изменений функций миокарда. Как правило, такой метод диагностики назначается перед выполнением кардиохирургических вмешательств.
Катетеризация сердца в лечебных целях может назначаться в следующих случаях:
- лечение некоторых пороков сердца;
- необходимость раскрытия суженных (стенозированных) каналов;
- интракоронарный тромболизис;
- выполнение стентирования или ангиопластики нездоровых артерий.
Катетеризация сердца может выполняться больным любого возраста при отсутствии противопоказаний к проведению такого метода диагностики или лечения.
Противопоказания
В некоторых случаях выполнение катетеризации сердца не может выполняться при наличии следующих относительных противопоказаний:
- острые инфекционные заболевания;
- лихорадка;
- системная инфекция;
- не устраненная дигиталисная интоксикация или гипокалиемия;
- отек легких;
- тяжелый периферический атеросклероз;
- неконтролируемая гипертензия или аритмия;
- декомпенсированное течение сердечной недостаточности;
- тяжелая анемия;
- выраженная коагулопатия;
- аллергическая реакция на применяемый контрастный препарат;
- желудочно-кишечное кровотечение;
- тяжелые формы почечной недостаточности;
- беременность и кормление грудью.
Необходимость выполнения катетеризации в таких случаях устанавливается для каждого больного индивидуально и всецело зависит от клинического случая. Обычно процедура может проводиться после устранения противопоказания или после специальной подготовки больного.
Иногда специалистам приходится обходиться без назначения такой диагностической процедуры по причине отказа пациента от ее выполнения.
Особенные рекомендации

При назначении катетеризации сердца больной обязательно должен сообщить врачу о таких состояниях:
- возможная беременность;
- прием лекарственных препаратов или БАДов;
- прием сахароснижающих препаратов;
- наличие аллергической реакции в прошлом на йод, рентгеноконтрастные средства или морепродукты, латекс или резину;
- прием Виагры или других препаратов для устранения эректильной дисфункции.
Особенно тщательная подготовка больного к исследованию рекомендуется в следующих клинических случаях:
- наличие тяжелых сопутствующих патологий (инсулинзависимый диабет, тяжелая легочная недостаточность, почечная недостаточность, тяжелые поражения периферических или мозговых сосудов);
- принадлежность к IV функциональному классу сердечной недостаточности (по классификации NYHA);
- выраженная дисфункция левого желудочка;
- возраст пациента до 1 года или старше 70 лет.
В вышеописанных случаях катетеризация сердца выполняется с особой осторожностью, т. к. при наличии этих состояний риск наступления возможного летального исхода возрастает.
Подготовка пациента
После назначения процедуры врач обязательно знакомит пациента с принципами техники выполнения исследования и возможными рисками и противопоказаниями. После этого больной подписывает документы о согласии на проведение катетеризации, и специалист дает ему детальные рекомендации о подготовке к предстоящему обследованию:
- За 14 дней до процедуры пациент сдает анализы крови, мочи и проходит ЭКГ, Эхо-КГ и рентгенографию грудной клетки. При необходимости врач может назначать дополнительные исследования.
- При необходимости может рекомендоваться изменение в режиме приема некоторых принимаемых лекарственных средств или прием препаратов (успокоительных, антикоагулянтов и пр.).
- Больной может прийти на процедуру в день исследования или госпитализироваться за 1-2 дня до катетеризации. При оформлении в стационар пациенту следует взять с собой необходимые вещи (тапочки, удобную одежду, средства гигиены и пр.). Эти же предметы могут понадобиться, если больной будет после процедуры оставаться под медицинским наблюдением. Поэтому их следует взять с собой из дома перед посещением диагностического центра.
- При необходимости может проводиться проба на местный анестетик, применяющийся для обезболивания, или контрастный препарат.
- Не забыть вовремя принять те лекарства, которые назначались врачом для подготовки к исследованию.
- Вечером перед исследованием принять душ и сбрить волосы с зоны предлагаемого введения катетера.
- За 6-8 часов до обследования необходимо отказаться от приема жидкостей и пищи.
- Если после процедуры пациент планирует отправиться домой, то у него должен быть сопровождающий.
- Перед процедурой оставить у близких или в палате зубные протезы, слуховой аппарат, очки, телефон и другие мешающие выполнению исследования предметы.
Техника проведения
Больному следует помнить о том, что катетеризация сердца является безболезненной процедурой. Во время исследования он будет находиться в сознании, сможет общаться с врачом и выполнять те действия, которые ему будут рекомендованы специалистом.
Иногда во время процедуры может ощущаться сердцебиение, легкое жжение в месте введения катетера или чувство жара. Эти несколько дискомфортные ощущения не должны пугать больного, т. к. они не указывают на какие-либо осложнения и быстро устраняются самостоятельно после завершения исследования.
Как выполняется катетеризация?
- За час до процедуры больному вводят седативное средство.
- После транспортировки в специально оборудованный кабинет ему предлагают переодеться в одноразовую одежду и укладывают на стол.
- Медицинская сестра пунктирует вену больного для вливания необходимых препаратов. При необходимости вводится катетер в мочевой пузырь.
- Врач обеззараживает место введения сердечного катетера (локтевой сгиб, запястье или паховую зону) и выполняет местную анестезию. После достижения обезболивающего эффекта специалист делает небольшой надрез для введения катетера или пунктирует сосуд толстой иглой.
- Врач начинает вводить катетер в выбранный кровеносный сосуд и под рентгеноскопическим контролем продвигает его к желудочкам сердца или коронарным сосудам.
- После достижения левого или правого желудочка к катетеру присоединяют манометр и измеряют давление. При необходимости выполняются другие необходимые процедуры (биопсия, аортограмма и пр.).
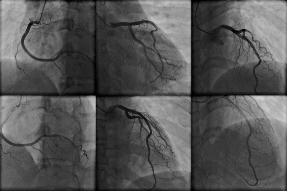
- Для выполнения ангиографии в катетер вводится рентгеноконтрастное средство, делающее видимыми желудочки и коронарные сосуды. Специалист изучает их состояние, выполняет снимки и делает необходимые заключения. При выполнении снимков врач может попросить пациента задержать дыхание, глубоко вдохнуть или покашлять.
- При введении контраста для исследования желудочков у больного на несколько секунд может появляться ощущение жара или тепла. Если же препарат вводится только для изучения состояния коронарных артерий, то такое ощущение не появляется, т. к. для этого используется меньшая доза йодсодержащего препарата. Если после введения контраста больной ощущает зуд, тошноту, комок в горле или стеснение в грудной клетке, то он должен незамедлительно сообщить о них врачу.
- При необходимости во время исследования могут рекомендоваться дозированные физические нагрузки или физиологические пробы. Для этого используется такое приспособление как эргометр.
- После завершения исследования врач удаляет сердечный катетер, при необходимости накладывает швы на место небольшого разреза или коллагеновый герметик. После этого выполняется давящая повязка, препятствующая кровотечению и образованию подкожных гематом.
- Медсестра удаляет иглу, вводящуюся для выполнения внутривенной инфузии, и катетер из мочевого пузыря (если он вводился).
После завершения катетеризации сердца больной может отправляться домой после полной стабилизации общего состояния (обычно это происходит через несколько часов) или остается под медицинским наблюдением до следующего утра.
Как долго длится процедура?
Непосредственная подготовка больного к исследованию занимает от 1 до 2 часов, сама катетеризация сердца длится около 30-60 минут. При необходимости выполнения дополнительных диагностических или лечебных манипуляций процедура может продолжаться более 1 часа.
Какие специальные исследования могут выполняться во время катетеризации сердца?

Во время катетеризации сердца могут проводиться такие методики обследования:
- ангиография – для визуализации камер сердца, коронарных сосудов, легочных артерий и аорты;
- исследование внутрисердечного шунтирования крови – для определения уровня содержания кислорода в разных отделах сердца и магистральных сосудах;
- внутрисосудистое УЗИ – выполняется при помощи миниатюрного УЗ-датчика, прикрепленного к концу сердечного катетера для изучения просвета сосуда, стенки венечной артерии и нелинейных потоков крови;
- эндомиокардиальная биопсия – выполняется при помощи специального катетера для биопсии, проводится для выявления состояний, спровоцированных инфильтративными и инфекционными заболеваниями, или реакции отторжения трансплантата;
- измерение сердечного кровотока или выброса – методика проводится при помощи способа термодилюции, индикаторной дилюции или метода Фика;
- измерение кровотока в коронарных артериях – выполняется при помощи специальных катетеров с допплеровскими датчиками потока или встроенными датчиками давления, которые оценивают степень стеноза сосудов.
После процедуры
После завершения катетеризации сердца пациенту рекомендуется:
- Несколько часов после исследования находиться под медицинским наблюдением. Врач может порекомендовать остаться в стационаре до следующего утра или разрешит отправиться домой в день катетеризации, но только после полной стабилизации общего состояния.
- Ели катетер вводился через паховую область, то для предупреждения кровотечения после процедуры следует полежать несколько часов на спине.
- Если катетер вводился в локтевую вену, то после исследования нельзя сгибать руку на протяжении нескольких часов.
- Принять обезболивающий препарат, если в месте введения катетера ощущается боль после окончания действия местного обезболивания.
- После процедуры нельзя садиться за руль. До дома больного должен кто-то сопровождать.
- После введения контрастного средства в течение последующих 24 часов выпить не менее 2 литров воды (для наиболее быстрого выведения препарата из организма).
- Вовремя выполнять обработку места введения катетера антисептическим раствором и менять повязку.
- Начать принимать душ только после разрешения врача.
- В течение недели ограничить физическую нагрузку.
- Если до процедуры врач отменил прием каких-то препаратов, то следует уточнить у специалиста, когда можно будет продолжить курс терапии.
- Повторно посетить врача в назначенный день.
Возможные осложнения
При правильной подготовке пациента, выявлении всех возможных противопоказаний и высокой квалификации врача, выполняющего исследование, осложнения после катетеризации сердца развиваются редко. Возможные последствия процедуры во многом зависят от того, какие отделы сердца обследуются.
При выполнении катетеризации правого желудочка существует небольшой риск развития аритмии и отека легкого, а наиболее часто возникают желудочковые или предсердные аритмии. В крайне редких случаях может развиваться инфаркт легкого, перфорация правого желудочка или легочной артерии. При проведении исследования левых отделов сердца возможно скопление воздуха или крови в плевральной полости и поражение перикарда.
Иногда во время или после катетеризации сердца могут возникать и некоторые другие осложнения:
- резкое снижение артериального давления;
- инфаркт миокарда;
- инсульт;
- повреждение коронарного сосуда;
- тромбоэмболия;
- инфицирование места введения катетера;
- кровотечение в области введения катетера;
- аллергическая реакция на используемый контрастный препарат;
- поражение почек из-за применения контраста (обычно происходит при сахарном диабете или патологиях почек);
- летальный исход.
Следует отметить, что инсульт и инфаркт миокарда при катетеризации сердца могут наступать только в 0,1 % случаев, а летальный исход – у 0,1-0,2 % пациентов. Частота развития инсульта возрастает у пациентов, которым уже исполнилось 80 лет.
Катетеризация сердца является инвазивной, но высокоинформативной диагностической процедурой. В некоторых клинических случаях она не может заменяться другими, неинвазивными современными методиками обследования. При правильной подготовке к исследованию, соблюдении рекомендаций специалиста, высокой квалификации врача и выявлении всех возможных противопоказаний риск осложнений такой процедуры остается невысоким. В некоторых случаях катетеризация сердца проводится с лечебными целями.